ArtsAutosBooksBusinessEducationEntertainmentFamilyFashionFoodGamesGenderHealthHolidaysHomeHubPagesPersonal FinancePetsPoliticsReligionSportsTechnologyTravel

You Love Kissing? Cautions And Benefits of Kissing

Updated on October 3, 2015

Kissing has been one of the most common way of showing love, passion and romance. Its popularity and way of doing it varies from country to country.In France, deep kissing is the most common one.Animals do also kiss each other in their own ways. The elephants way of kissing each other is putting trunk in the mouth of a partner Scientists who have conducted research on this behavior have revealed that kissing which involves tongue tangling brings about a series of physiological processes which can boost one’s immunity. There are claims that the first strong kissing between lovers can help predict how long a relationship will last. This however has not been scientifically proven. It however strengthens the bond between partners. It brings on the sweet feelings. For sure we all love kissing people we love. Kissing like any other human behavior has its benefits and pre cautions. In this article I will outline some of the known benefits and problems associated with kissing.

Lovers kissing

Source

Kissing boosts man's immunity

Kissing initiates reactions which boost immunity
Kissing initiates reactions which boost immunity | Source

Benefits of kissing

1.Boosts partners immunity

Kissing as I had already stated initiates a series of reactions in the body which boost immunity. This starts from the partners feelings of well being and satisfaction. Good health starts from the right state of mind. This good state of mind ensures good hormonal balance. This good state of mind works positively on one’s blood pressure, heart beat rate. The exchange of antigens also makes your immune system remain alert to any threat which may arise.

2. Kissing reduces stress levels.

Psychologically, the sense of well being reduces stress levels which come with feelings of insecurity.

3. Kissing promotes good dental health

It initiates processes which increase the release of saliva from salivary glands. This increase in volume of saliva has a benefit in the mouth. The bacterial which causes dental carriers and cavity thrive in an acidic medium. Our saliva pH ranges from neutral to slightly basic. It helps in neutralizing the medium and washing away the bad bacteria.

3. Raises the levels of serotonin, oxytocin and dopa-mine hormones

These are the hormones which enable your body to relax and feel relieved.

4.Kissing and weight loss

Any form of physical exercise enhances burning of calories and kissing being a physical and psychological exercise promotes breakdown of calories. It is therefore an enjoyable way of promoting weight loss.

5. Kissing boosts partners’ confidence and self esteem

It brings happiness and satisfaction. Confidence and self esteem boosts one’s productivity at places of work.Some people have claimed that kissing helps them predict how long their relationship Is going to last. A change in kissing behavior brings on suspense on cheating and instincts do not lie. In many cases things turn out as per the expectations.


Elephants kissing

Even animals kiss each other
Even animals kiss each other | Source

Cold sores

Cold sores virus can be spread through salva excahnge
Cold sores virus can be spread through salva excahnge | Source

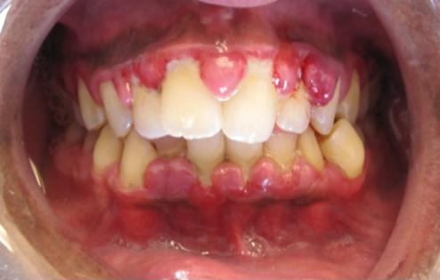
Gingivitis

Bacterial dental diseases can be spread during kissing
Bacterial dental diseases can be spread during kissing | Source

Cautions

1. Disease spread

Deep or French kissing can be a route of exchange of disease causing microorganisms between partners. Viruses that cause flu, herpes are found in certain amounts in the saliva of infected person. When kissing involves exchange of a good amount of saliva, transmission of these micro-organisms usually occur leading to spread of diseases. The bacteria which causes gum disease is also found in mouth and during exchange of saliva, it can be spread. There is also a case of a mother who spread the fatal cold sore virus to her new born child . The child developed serious sores since the body of such a child lacks the mechanism to fight off herpes virus. If not detected early it can lead to death due to destruction of organs like liver. Hepatitis B virus can also be spread through kissing. Hepatitis is a life threatening disease.

2. Causes suspense in relationship

Some partners have applied kissing as a way of testing faithfulness or honesty in their men. Any slight change in the kissing behavior is perceived to be a sign of a breaking relationship. This is an untested and unreliable method of gauging faithfulness.

3. Kissing partners who do not observe good oral hygiene

It may make the relationship between two partners difficult. If one partner poorly brushes his or her mouth and it smells, the other partner may not be comfortable with kissing and this can ruin their relationship especially if the involved partner does not take criticism positively.

4. Sense of insecurity

Kissing has also been one of the reasons why relationships break. If one partner is caught kissing another person, she or he may be taken for a cheat and everything will not go on rightly.


working

This website uses cookies

As a user in the EEA, your approval is needed on a few things. To provide a better website experience, hubpages.com uses cookies (and other similar technologies) and may collect, process, and share personal data. Please choose which areas of our service you consent to our doing so.

For more information on managing or withdrawing consents and how we handle data, visit our Privacy Policy at: https://corp.maven.io/privacy-policy

Show Details
Necessary
HubPages Device IDThis is used to identify particular browsers or devices when the access the service, and is used for security reasons.
LoginThis is necessary to sign in to the HubPages Service.
Google RecaptchaThis is used to prevent bots and spam. (Privacy Policy)
AkismetThis is used to detect comment spam. (Privacy Policy)
HubPages Google AnalyticsThis is used to provide data on traffic to our website, all personally identifyable data is anonymized. (Privacy Policy)
HubPages Traffic PixelThis is used to collect data on traffic to articles and other pages on our site. Unless you are signed in to a HubPages account, all personally identifiable information is anonymized.
Amazon Web ServicesThis is a cloud services platform that we used to host our service. (Privacy Policy)
CloudflareThis is a cloud CDN service that we use to efficiently deliver files required for our service to operate such as javascript, cascading style sheets, images, and videos. (Privacy Policy)
Google Hosted LibrariesJavascript software libraries such as jQuery are loaded at endpoints on the googleapis.com or gstatic.com domains, for performance and efficiency reasons. (Privacy Policy)
Features
Google Custom SearchThis is feature allows you to search the site. (Privacy Policy)
Google MapsSome articles have Google Maps embedded in them. (Privacy Policy)
Google ChartsThis is used to display charts and graphs on articles and the author center. (Privacy Policy)
Google AdSense Host APIThis service allows you to sign up for or associate a Google AdSense account with HubPages, so that you can earn money from ads on your articles. No data is shared unless you engage with this feature. (Privacy Policy)
Google YouTubeSome articles have YouTube videos embedded in them. (Privacy Policy)
VimeoSome articles have Vimeo videos embedded in them. (Privacy Policy)
PaypalThis is used for a registered author who enrolls in the HubPages Earnings program and requests to be paid via PayPal. No data is shared with Paypal unless you engage with this feature. (Privacy Policy)
Facebook LoginYou can use this to streamline signing up for, or signing in to your Hubpages account. No data is shared with Facebook unless you engage with this feature. (Privacy Policy)
MavenThis supports the Maven widget and search functionality. (Privacy Policy)
Marketing
Google AdSenseThis is an ad network. (Privacy Policy)
Google DoubleClickGoogle provides ad serving technology and runs an ad network. (Privacy Policy)
Index ExchangeThis is an ad network. (Privacy Policy)
SovrnThis is an ad network. (Privacy Policy)
Facebook AdsThis is an ad network. (Privacy Policy)
Amazon Unified Ad MarketplaceThis is an ad network. (Privacy Policy)
AppNexusThis is an ad network. (Privacy Policy)
OpenxThis is an ad network. (Privacy Policy)
Rubicon ProjectThis is an ad network. (Privacy Policy)
TripleLiftThis is an ad network. (Privacy Policy)
Say MediaWe partner with Say Media to deliver ad campaigns on our sites. (Privacy Policy)
Remarketing PixelsWe may use remarketing pixels from advertising networks such as Google AdWords, Bing Ads, and Facebook in order to advertise the HubPages Service to people that have visited our sites.
Conversion Tracking PixelsWe may use conversion tracking pixels from advertising networks such as Google AdWords, Bing Ads, and Facebook in order to identify when an advertisement has successfully resulted in the desired action, such as signing up for the HubPages Service or publishing an article on the HubPages Service.
Statistics
Author Google AnalyticsThis is used to provide traffic data and reports to the authors of articles on the HubPages Service. (Privacy Policy)
ComscoreComScore is a media measurement and analytics company providing marketing data and analytics to enterprises, media and advertising agencies, and publishers. Non-consent will result in ComScore only processing obfuscated personal data. (Privacy Policy)
Amazon Tracking PixelSome articles display amazon products as part of the Amazon Affiliate program, this pixel provides traffic statistics for those products (Privacy Policy)
ClickscoThis is a data management platform studying reader behavior (Privacy Policy)