ArtsAutosBooksBusinessEducationEntertainmentFamilyFashionFoodGamesGenderHealthHolidaysHomeHubPagesPersonal FinancePetsPoliticsReligionSportsTechnologyTravel

Signs and Symptoms of Pulmonary TB (Tuberculosis)

Updated on December 31, 2012

The whole world is at risk of a new and deadly outbreak of tuberculosis, and for this reason it is of vital importance that each and every one of us knows the signs and symptoms of pulmonary TB, because the earlier treatment is started, the better the outcome.

TB stands for tubercles bacillus which is the name of the bacteria involved.

In centuries past, tuberculosis (then called consumption) killed millions in all the civilised countries as well as those in the dark continents.

In England alone in 1815, 1 in 4 of all recorded deaths was because of consumption. By 1918, over 100 years later, consumption was still killing 1 in 6 people in nearby France.

Even today, a massive one third of the world’s population is believed to be infected with M. Tuberculosis (Mycobacterium tuberculosis) with new infections being recorded at the rate of 1 per second!

The BCG vaccine was developed in 1921, and antibiotics that are effective against TB have been in use since the late 1940s. Streptomycin, the first effective antibiotic, was developed in 1946.

Unfortunately, due to the long courses needed to cure TB and the unfortunate lapses some people have had in completing their courses, we are now seeing a rise in antibiotic-resistant TB.

Now, each and every one of us is at risk of catching this terrible disease, and so the importance of recognising the signs and symptoms of pulmonary tuberculosis is paramount if we are to prevent a natural catastrophe.

myobacterium tuberculosis
myobacterium tuberculosis
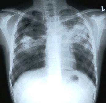
chest X-ray showing shadows caused by TB
chest X-ray showing shadows caused by TB

Signs and symptoms of TB

First of all, it is important to note that the M. Tuberculosis is highly contagious and spread through the water droplets we exhale when we cough or sneeze, but only 1 in 10 will go on to develop active tuberculosis at that time.

M.Tuberculosis can lie dormant in our systems for years, only to emerge as a full blown infection years later when our system is low.

It primarily affects our lungs, primary pulmonary tuberculosis, but in 20% of cases it can affect other parts of the body.

Left untreated, TB kills more than 50% of its victims.

Seek medical help is you have three or more of the following symptoms:

  1. a cough lasting more than 3 weeks, AND
  2. a blood-stained spit(sputum)
  3. weight loss
  4. night sweats (so bad that you may have to change the sheets)
  5. fever
  6. loss of appetite
  7. excessive fatigue

myobacterium tuberculosis
myobacterium tuberculosis

Diagnosis of TB

Your doctor will order X-ray examination of your lungs if TB is suspected.

Damaged areas show up as shadows.

Sputum – your spit can be checked under a microscope and tubercles bacillus can be seen.

M. tuberculosis is very slow growing and results from the laboratory can sometimes take 4 - 12 weeks.

New molecular diagnostic tests are being developed which can give a result in 100 minutes.

some TB medications
some TB medications

Treatment of TB

You will be put on to a long course of antibiotics, or perhaps a mixture of antibiotics, lasting anywhere between 6 months and 2 years.The current drugs in use are as follows:

  • Isoniazid
  • Rifampin
  • Pyrazinamide
  • Ethambutol
  • Amikacin
  • Ethionamide
  • Moxifloxacin
  • Para-aminosalicylic acid
  • Streptomycin

Your doctor will prescribe at least 4 of these drugs.

It is vitally important that you complete this course, with follow up checks the whole time. You will only be infectious to other people for the first two weeks or so after starting treatment.

If you are very ill, you may be admitted to a fever hospital where you will be barrier nursed by staff trained in disease prevention and infection control.

As tuberculosis is a notifiable disease, your doctor must not only notify the health authorities, your family, friends and work colleagues will be offered screening and treatment where applicable.

If you know you have been in contact with someone who has active TB, please see a doctor as soon as possible.

He will carry out a skin test called the Mantoux tuberculin skin test. A positive result means you have been exposed to TB but the infection is inactive.

Your doctor will advise you of what steps to take next.

If the test is negative, you will be required to have a follow up test in case the second one shows positive.

Mantoux test
Mantoux test

Prevention of TB

The BCG vaccine has been in widespread use since 1921. It has been found, though, to only be effective in preventing children from catching TB.

The BCG does not work in adults.

New vaccinations are undergoing trials, but none are yet efficient.

The best way to prevent tuberculosis is clean living conditions, with good sanitation, clean water supplies, getting rid of overcrowding and a good diet.

Unfortunately, for large tracts of the world this is still a long way off, and many countries today have a high incident rate of tuberculosis.

Among those are Africa, India and The Philippines.

While the incidence is small in the UK and the USA, the rates of new infections are rising, due in part to immigration.

Source

To see the chart better, click here. (opens in new window)

Risk Factors

  • HIV
  • smoking more than 20 cigarettes per day
  • diabetes mellitus and prediabetes
  • Hodgkins lymphoma
  • end-stage renal disease
  • chronic lung disease
  • malnutrition
  • alcoholism
  • micronutrient deficiencies in those following a vegetarian diet

sanatorium (where people were nursed in the fresh air)
sanatorium (where people were nursed in the fresh air)

I worked in a fevers hospital that still had 'verandahs' so that the patients with TB could receive the fresh air that was once thought would help. Back at the turn of the last century, people with consumption were admitted to public sanatoriums for treatment that included the use of the 'iron lung' to try to cure them. 50% of those involuntary in-patients were dead within 5 years of admittance.

In the 1970s when I was there, we still had active cases of TB, especially among homeless down-and-out men. These men deliberately didn't take their medication so that they could be re-admitted, when they wanted, and receive a nice warm bed and some good food in the winter.

Their behaviour has resulted in fresh outbreaks and no doubt contributed to the estimated half a million new cases of multidrug-resistant tuberculosis (MDR-TB) that are occurring world-wide, every year.

So worried are the World health Organization, that in 1993 they declared the resurgence of tuberculosis a global health emergency.

In real terms, cases of TB are rising world-wide, and it is only a matter of time before there is a major outbreak again that will kill millions.

The dangers of pulmonary tuberculosis cannot be understated. It is a severely debilitating disease that leaves scar tissue on the linings of the lungs, leaving the victim more prone to respiratory infections in the future....if they survive.

working

This website uses cookies

As a user in the EEA, your approval is needed on a few things. To provide a better website experience, hubpages.com uses cookies (and other similar technologies) and may collect, process, and share personal data. Please choose which areas of our service you consent to our doing so.

For more information on managing or withdrawing consents and how we handle data, visit our Privacy Policy at: https://corp.maven.io/privacy-policy

Show Details
Necessary
HubPages Device IDThis is used to identify particular browsers or devices when the access the service, and is used for security reasons.
LoginThis is necessary to sign in to the HubPages Service.
Google RecaptchaThis is used to prevent bots and spam. (Privacy Policy)
AkismetThis is used to detect comment spam. (Privacy Policy)
HubPages Google AnalyticsThis is used to provide data on traffic to our website, all personally identifyable data is anonymized. (Privacy Policy)
HubPages Traffic PixelThis is used to collect data on traffic to articles and other pages on our site. Unless you are signed in to a HubPages account, all personally identifiable information is anonymized.
Amazon Web ServicesThis is a cloud services platform that we used to host our service. (Privacy Policy)
CloudflareThis is a cloud CDN service that we use to efficiently deliver files required for our service to operate such as javascript, cascading style sheets, images, and videos. (Privacy Policy)
Google Hosted LibrariesJavascript software libraries such as jQuery are loaded at endpoints on the googleapis.com or gstatic.com domains, for performance and efficiency reasons. (Privacy Policy)
Features
Google Custom SearchThis is feature allows you to search the site. (Privacy Policy)
Google MapsSome articles have Google Maps embedded in them. (Privacy Policy)
Google ChartsThis is used to display charts and graphs on articles and the author center. (Privacy Policy)
Google AdSense Host APIThis service allows you to sign up for or associate a Google AdSense account with HubPages, so that you can earn money from ads on your articles. No data is shared unless you engage with this feature. (Privacy Policy)
Google YouTubeSome articles have YouTube videos embedded in them. (Privacy Policy)
VimeoSome articles have Vimeo videos embedded in them. (Privacy Policy)
PaypalThis is used for a registered author who enrolls in the HubPages Earnings program and requests to be paid via PayPal. No data is shared with Paypal unless you engage with this feature. (Privacy Policy)
Facebook LoginYou can use this to streamline signing up for, or signing in to your Hubpages account. No data is shared with Facebook unless you engage with this feature. (Privacy Policy)
MavenThis supports the Maven widget and search functionality. (Privacy Policy)
Marketing
Google AdSenseThis is an ad network. (Privacy Policy)
Google DoubleClickGoogle provides ad serving technology and runs an ad network. (Privacy Policy)
Index ExchangeThis is an ad network. (Privacy Policy)
SovrnThis is an ad network. (Privacy Policy)
Facebook AdsThis is an ad network. (Privacy Policy)
Amazon Unified Ad MarketplaceThis is an ad network. (Privacy Policy)
AppNexusThis is an ad network. (Privacy Policy)
OpenxThis is an ad network. (Privacy Policy)
Rubicon ProjectThis is an ad network. (Privacy Policy)
TripleLiftThis is an ad network. (Privacy Policy)
Say MediaWe partner with Say Media to deliver ad campaigns on our sites. (Privacy Policy)
Remarketing PixelsWe may use remarketing pixels from advertising networks such as Google AdWords, Bing Ads, and Facebook in order to advertise the HubPages Service to people that have visited our sites.
Conversion Tracking PixelsWe may use conversion tracking pixels from advertising networks such as Google AdWords, Bing Ads, and Facebook in order to identify when an advertisement has successfully resulted in the desired action, such as signing up for the HubPages Service or publishing an article on the HubPages Service.
Statistics
Author Google AnalyticsThis is used to provide traffic data and reports to the authors of articles on the HubPages Service. (Privacy Policy)
ComscoreComScore is a media measurement and analytics company providing marketing data and analytics to enterprises, media and advertising agencies, and publishers. Non-consent will result in ComScore only processing obfuscated personal data. (Privacy Policy)
Amazon Tracking PixelSome articles display amazon products as part of the Amazon Affiliate program, this pixel provides traffic statistics for those products (Privacy Policy)
ClickscoThis is a data management platform studying reader behavior (Privacy Policy)